
初診カウンセリングについて
あなたのお口の悩みを教えてください。
詳しい診断内容や今後のプラン、あなたの不安を一緒に解消させてください。
また、じっくりと時間をかけてお話ししたいという方には、カウンセリングの延長プランもございます。

GREETING
ごあいさつ

高齢化社会となった現在、病気になってから治療を受けるのではなく、病気を予防することに大きな意味があります。当院では「噛み合わせ」と「歯周病」を悪化させないよう努め、改善に取り組み、皆様に最期まで健康で幸せな人生を送っていただくための治療をご提供しています。
医療法人 KANEKO DENTAL OFFICE(金子デンタルオフィス)
- 理事長 / 院長
- 金子 泰英

IMPLANT RESCUE インプラント治療提案
また噛める、やり直せる。
当院だからできる
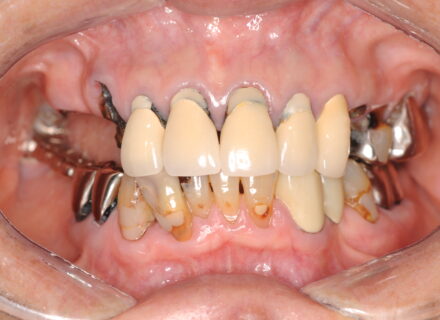
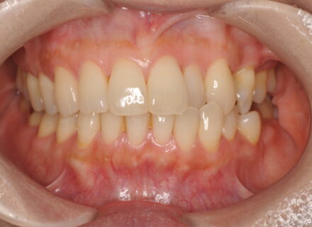
「すでに多くの歯がない」「かつてインプラントを入れたけれど失敗した」という方でも、当院の治療実績・技術で再びしっかりと噛めるようにします。「取り返しがつかない…」とあきらめず、良質な治療でより充実した人生にしていきましょう。
MORE

GOLDEN SMILE 輝く笑顔 ゴールデンスマイル
噛みあわせは全てにつながる
正確な噛み合わせ治療を
行うための顎機能検査
正しい噛み合わせへの改善には、矯正治療が有効です。専用の機器を使って噛み合わせの位置を確認する「顎機能検査」をもとに診断し、矯正治療の方法や手順を決めていきます。治療中にもこの検査を行ない、矯正完了後の噛み合わせの不具合を予防します。
MORE

ORDER MADE オーダーメイド診療
なぜオーダーメイドを選ぶのか
歯の不具合が心身に悪影響を及ぼすほど、歯は重要な役割を担っています。生涯にわたり、よく噛める美しい歯と心身の健康を維持するためにも、制限のある保険診療ではなく、多様な治療経験を持つ歯科医師による完全オーダーメイドの自由診療を選ぶべきと考えています。
MORE














