院長の金子は、この指導医・専門医の両資格を取得しており、
- 豊富な症例実績をもとにした高度な治療技術
- 最新のインプラント研究を取り入れた治療計画
- 若手歯科医師の指導・育成を通じた技術向上
これらを実践し、患者様にとって最適で安心なインプラント治療を提供しています。
そう診断されたとき、誰でも不安を感じるものです。
「抜歯するしかない」と言われたけれど、
本当に他に方法はないのか。
「このままインプラントを選んでいいのか」
と悩まれる方も多くいらっしゃいます。
当院では、歯を残すための治療法や、ご自身の歯を活かす方法も含めて、最適な治療法を一緒に考えます。
もちろん、インプラントが最善の選択肢である場合も、できるだけ負担を少なく、安全に治療を進められるようサポートいたします。
「抜歯しかない」と診断されても、適切な診断を行い、
歯の状態を正しく見極めることで、歯を残せるケースは決して珍しくありません。
実際に、抜歯と判断された歯でも、適切な治療によって保存できる可能性は十分にあります。
.jpg)
ご相談内容 「痛みが止まらない」「原因が分からず不安」「噛めない」「違和感もある」というお悩みで来院されました。他院では「特に問題はない」と言われたものの、症状が続いている状況でした。 初診時の状態と診断 初診時は痛みがあり、打診痛(叩くと痛い)も認め、咬むことが難しい状態でした。銀歯(詰め物)が入っていましたが、外して確認すると虫歯が神経まで到達しており、 …
「前歯が折れてしまい、歯科医院で“抜歯しかありません”と言われました。本当に抜かないといけないのでしょうか?」5年前、50代の女性がセカンドオピニオンとして来院されました。前歯の抜歯は見た目や会話、食事に直結するため、強い不安を感じやすい状況です。 初診時の状態と診断 前医では「歯が横に割れているため抜歯」と診断されていました。当院で精査したところ、レントゲ …

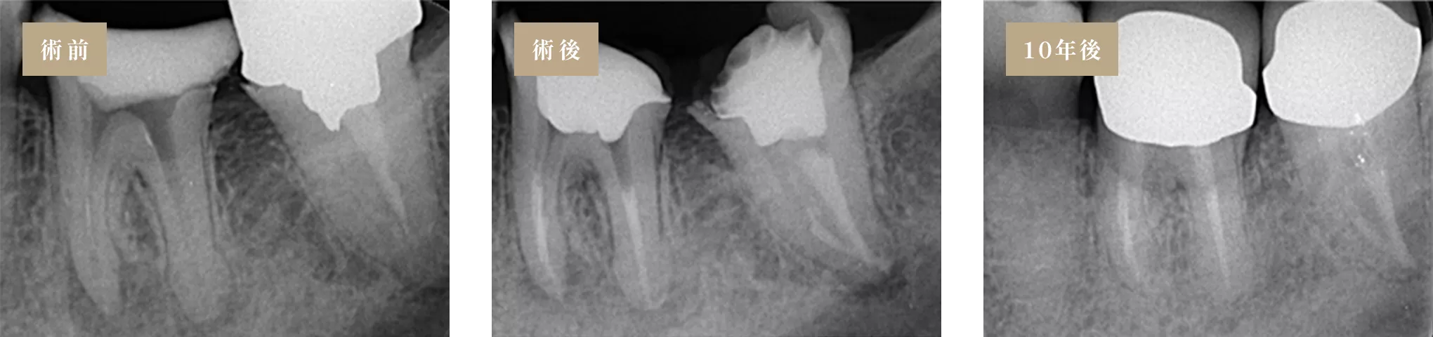
はじめに インプラント治療後の長期経過観察は、治療の成功を評価する上で非常に重要です。今回、8年前にインプラント治療を行った40代女性患者さんが、前歯の違和感を主訴に来院されました。この症例を通じて、長期経過症例における対応と、患者さんとのコミュニケーションの大切さについて考えていきたいと思います。 患者背景と初診時の状況 患者さんは40代女性で、医療系の職 …
インプラント治療を考えていても、痛みや手術へ
の不安で踏み出せない方も多いかと思います。
当院では、そんな不安を和らげ、安心して治療を
受けられる環境を整えています。
静脈内鎮静法とは、点滴で鎮静薬を投与し、リラックスした状態で治療を受けられる方法です。
全身麻酔とは異なり、意識は保たれますが、不安や恐怖心が軽減され、ウトウトとした感覚で治療が進みます。
インプラント手術後の痛みや腫れを抑え、回復を早めるために、当院では完全自己血CGF・AFG療法を取り入れています。
この治療法に関しては、院長自身が「コアフロント」社の公認講師として登壇しており、最新の知識と技術をもとに日々の診療を行っております。
また、当院ではこのCGF・AFG療法を追加費用なしで提供しており、できるだけ患者様のご負担を少なく、安心して治療を受けられる環境を整えています。
インプラント治療を成功させるためには、インプラントを正確な位置・角度・深さで埋め込むことが重要です。
当院では、その精度を高めるためにサージカルガイドを使用しています。
サージカルガイドは、インプラントを正確な位置に埋め込むための専用のプレートです。CTデータをもとに作成され、手術中に装着することで、計画通りの位置・角度・深さでインプラントを埋入することができます。
これにより、歯ぐきを大きく切開せずに済み、痛みや腫れを抑えながら精度の高い治療が可能になります。
院長の金子は、日本口腔インプラント学会が認定する
指導医・専門医の資格を取得しており、この資格を持つ歯
科医師は全国でも限られた数しかいません。
日本口腔インプラント学会は、インプラント治療の技術向上と研究を推進する、日本国内で最も権威のある学術団体のひとつです。
その中でも「専門医」は、一定の臨床経験と学術的な知識を持ち、厳格な試験に合格した歯科医師にのみ与えられる資格です。
さらにその上位資格である「指導医」は、
豊富な治療実績を持ち、他の歯科医師を指導・教育するレベルに達した歯科医師にのみ認定されます。
この資格を持つ歯科医師は全国でもごくわずかであり、インプラント治療のプロフェッショナルとして認められています。
院長の金子は、この指導医・専門医の両資格を取得しており、
これらを実践し、患者様にとって最適で安心なインプラント治療を提供しています。
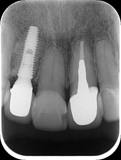
他院でインプラント治療を受けたものの、噛みにくさや不具合、メンテナンスの不安を感じていませんか?
当院では、インプラント後のご相談・再診・メンテナンスにも対応しております。
まずは現在の状態を丁寧に確認し、必要な処置や今後の選択肢をご提案いたします。
やり直しができるか不安な方も、まずはお気軽にご相談ください。
「自分にインプラントが本当に必要かどうか」
まずはお気軽にご相談ください。
現在のお悩みやご希望について、じっくりとお話を伺います。
「本当にインプラントしか選択肢がないのか」
「歯を残す可能性はあるのか」など、どんなことでもご相談ください。
以下の簡易的な検査を通して、お口の状態を把握します。
診断結果をもとに、現在のお口の状態についてわかりやすくご説明します。
患者様のライフスタイルやご希望に合わせて、一緒に無理のない治療計画を立てていきます。
不安に感じていることや、気になる点があれば何でもお聞きください。
オペ、上部構造の費用も含んだインプラント1本あたりの価格です。
治療費は治療開始時に半額を、冠が入る日に残り半額をいただきます。
インプラント治療費は各種クレジットカードによるお支払いも可能です。
各種クレジットカードがご利用可能です。
当院ではデンタルローンによる分割払いも対応可能です。
治療費用はこちらインプラント治療が必要な患者様でお困りの先生方に向け、出張での手術サポートを行っています。
一般的なインプラント埋入から、骨造成・サイナスリフト・ソケットリフトなどの高度処置、遊離歯肉移植術などの軟組織手術まで幅広く対応可能です。
手術は紹介元クリニック内で実施し、アシスタントは担当医や歯科衛生士・歯科助手の方でも問題ありません。
最低限の器具のみご準備いただければ、必要な追加器具や材料はこちらで持参いたします。
貴院と患者様のご負担を最小限に抑えつつ、質の高いインプラント治療を実現します。
まずはお気軽にご相談ください。