
【1000症例以上の実績】痛みを最小限に抑える低侵襲インプラント治療とCGF再生療法の実際
【1000症例以上の実績】痛みを最小限に抑える低侵襲インプラント治療とCGF再生療法の実際 切らない・縫わない・腫れない 次世代インプラント治療 抜歯即時インプラント×CG…
ブログ|宇都宮でインプラント口腔外科専門医による治療なら「医療法人 KANEKO DENTAL OFFICE(金子デンタルオフィス)」
[ 休診日 ]日曜日・祝日
お知らせ・ブログ

【1000症例以上の実績】痛みを最小限に抑える低侵襲インプラント治療とCGF再生療法の実際 切らない・縫わない・腫れない 次世代インプラント治療 抜歯即時インプラント×CG…

歯科医師として長年診療を続けていると、インプラント治療の本当の価値を実感する瞬間があります。今日は、10年前にインプラント治療を受けられた患者様の症例を通じて、インプラント治療の可能性と投資価値に…

予定外の静かな元日が教えてくれたこと 年末には少しハプニングもありました。12月の暮れに三男が熱を出してしまい、元日は外出を控えて家でゆっくり過ごすことになりました。正月は動き回るもの、という固定観…

「原因不明の頭痛」の正体は、15年前のインプラントだった――歯科医師の直感が救った2年越しの苦しみ はじめに:医療の境界線で見落とされる「真犯人」 「頭痛がひどくて検査をしたら、副鼻腔…

小児矯正の本当の目的 「子どもの歯並びが気になる」「いつから矯正を始めればいいの?」そんな疑問を持つ保護者の方は多いのではないでしょうか。小児矯正と聞くと、多くの方が「歯並びをきれいにすること」だけ…

子どもの受け口は早期対応が鍵。放置が招く将来のデメリットとは 子どもの受け口(反対咬合)は、見た目の問題だけではありません。成長期の顎の発育、噛み合わせ、発音、日常生活、そして将来的な顔立ちまで影響…

はじめに:長年の不調、意外な原因 50代の女性、Aさんが私たちのクリニックを訪れたのは、複数の銀歯を白い歯に変えたい、というごく一般的なご希望からでした。しかし、お話を詳しく伺ううちに、Aさんが…

子どもの睡眠時無呼吸症候群を防ぐために今できること CPAPが必要になる前に 子どもがCPAP(持続陽圧呼吸療法)装置を使わなければならない状況は、親としても子ども自身にとっても大きな負担です。夜…

銀歯とセラミックの違い ― 健康を守るために知っておきたい事実 はじめに 「銀歯はただの詰め物」と思っていませんか?実は、銀歯やアマルガムは時間とともに溶け出し、体内に取り込まれることがあります。…

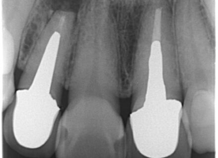
8年経過したインプラント症例:前歯の違和感を訴える40代女性患者 はじめに インプラント治療後の長期経過観察は、治療の成功を評価する上で非常に重要です。今回、8年前にインプラント治療を行った40代…