10年経過した患者様の症例紹介
先日、10年前にインプラント治療を受けられた患者様から連絡がありました。60代でインプラント治療を開始され、現在は70代になられたこの方は、定期メインテナンスを欠かさず継続されている模範的な患者様です。

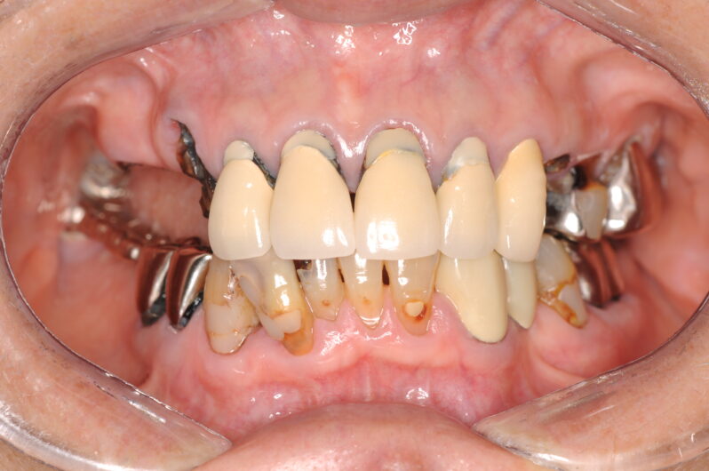
*10年前の写真
ある日、「左上の歯が外れてしまった」とご連絡をいただきました。すぐに来院していただき、詳しく診断を行った結果、残念ながらその歯は抜歯が必要という結論に至りました。患者様ご本人もこの診断結果を納得され、受け入れてくださいました。
しかし、この症例はインプラント治療の柔軟性と長期的な成功を示す素晴らしい例となったのです。
今回の治療内容
診断の結果、問題となった左上の失活歯(神経が死んでしまった歯)は抜歯が必要でした。通常であれば、この歯を失うことで大きな問題になりそうですが、幸いなことに両サイドにインプラントが入っていたのです。
- 問題のある天然歯を抜歯
- 両サイドのインプラントを支台として活用
- インプラント上部構造のみを作り直し
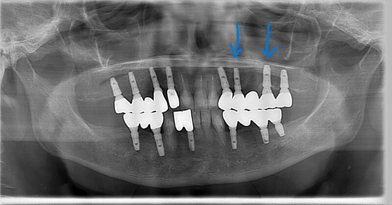
*術前写真 青いマークが抜歯

*術後写真 両サイドのインプラントを利用してインプラントブリッジ(2回)

これがインプラント治療の大きなメリットの一つです。天然歯が失われても、既存のインプラントを土台として、新しいブリッジを作製することができるのです。大掛かりな手術を追加することなく、機能的で審美的な治療が可能になりました。
レントゲン検査で確認された10年間の安定性
他の部位のインプラントもレントゲンで詳しく確認しましたが、10年間、全く問題のない状態を維持していました。これは適切な治療計画、精密な外科処置、そして患者様ご自身の優れたセルフケアと定期メインテナンスの賜物です。
全身状態の管理も重要
この患者様は現在、糖尿病の治療も開始されています。糖尿病はインプラント治療においてリスク因子の一つとされていますが、私たちの診療所では定期メインテナンス時に血液検査も実施し、全身状態を継続的にチェックしています。
インプラント治療の成功には:
- 口腔内の衛生管理
- 全身状態のコントロール
- 定期的な専門家によるチェック
これらすべてが揃って初めて、長期的な成功が実現するのです。
インプラント治療の投資価値を考える
ここで、多くの方が気になる「費用」について、現実的な視点でお話しさせていただきます。
この患者様が10年間で投資された金額を仮に500万円としましょう。一見すると大きな金額に感じられるかもしれません。しかし、この投資を時間軸で考えてみてください。
月額換算で見るインプラント治療の価値
計算してみましょう:
500万円 ÷ 10年 =年間50万円
50万円 ÷ 12ヶ月 =月額約4万2千円
月額4万2千円で得られたものは何でしょうか?
患者様が手に入れたもの:
- しっかり噛める喜び- 好きな食事を制限なく楽しめる
- 若々しい外見- 口元に自信が持て、笑顔が増える
- 健康の維持- 栄養摂取が改善し、全身の健康につながる
- 仕事の継続- 口元を気にせず、自信を持って仕事ができる
- 家族との時間- お孫さんと一緒に食事を楽しみ、笑顔で遊べる
- 生活の質の向上- 毎日をより快適に、積極的に過ごせる
実際、この患者様は今でも現役で仕事を続けられ、お孫さんとも元気に遊ばれています。これはプライスレスな価値ではないでしょうか。
治療の投資対効果:高いか安いか
私は歯科医師として、常にこのような視点で治療計画を立てています。「この治療は、患者様の未来をどれだけ豊かにするか?」
500万円という投資が高いか安いかは、その人の価値観によります。しかし、確実に言えることは:
- 10年後も健康でいられる
- 自信を持って笑える
- 好きな食事を楽しめる
- 積極的に社会参加できる
- 家族との時間を心から楽しめる
これらの願いが現実になるかどうかで、人生そのものが変わってくるのです。
インプラント治療で変わる未来
10年前、この患者様は大きな決断をされました。そして今、その決断が正しかったことを、笑顔とともに実証してくださっています。
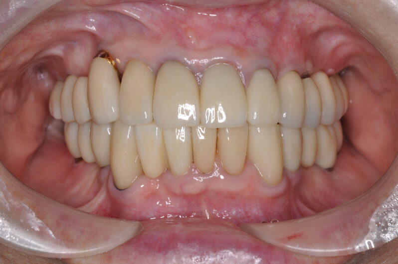
*術後10年の写真
治療を受ける前に考えていただきたいこと:
- 10年後、どんな自分でいたいですか?
- 大切な人とどんな時間を過ごしたいですか?
- どんな食事を楽しみたいですか?
- どんな笑顔で毎日を過ごしたいですか?
インプラント治療は、単に「歯を入れる」治療ではありません。あなたの未来への投資なのです。
まとめ:インプラント治療の本当の価値
今回の症例が示すように、インプラント治療には多くの可能性があります:
✓長期的な安定性- 適切なケアで10年以上の機能維持が可能
✓柔軟な対応力- トラブル時も既存のインプラントを活用した治療が可能
✓全身の健康管理- 定期メインテナンスで口腔と全身の健康をサポート
✓生活の質の向上- 日々の生活に自信と喜びをもたらす
費用を月額で考えれば、それは「健康で充実した毎日」への合理的な投資です。10年後、20年後の自分への最高のプレゼントになるかもしれません。
インプラント治療について、もっと詳しく知りたい方、ご自身のケースについて相談されたい方は、ぜひお気軽にご相談ください。あなたの理想の未来を一緒に実現していきましょう。
日本口腔インプラント学会指導医 歯学博士 金子泰英