抜歯回避の症例

ご相談内容

「痛みが止まらない」「原因が分からず不安」「噛めない」「違和感もある」というお悩みで来院されました。
他院では「特に問題はない」と言われたものの、症状が続いている状況でした。

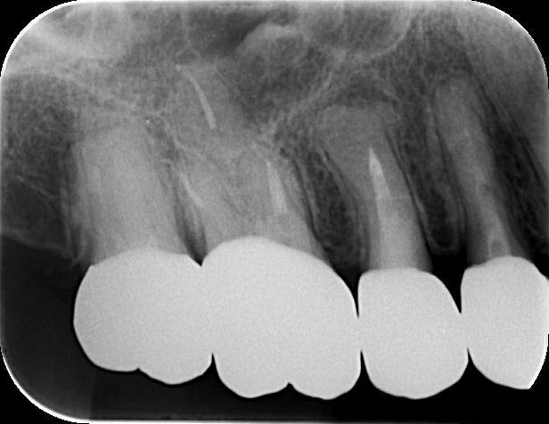
初診時の状態と診断

初診時は痛みがあり、打診痛(叩くと痛い)も認め、咬むことが難しい状態でした。
銀歯(詰め物)が入っていましたが、外して確認すると虫歯が神経まで到達しており、抜髄が必要と判断しました。

治療方針と選択肢

今回のゴールは、痛みの原因を明確にし、歯を残すために必要な処置を確実に行うこと。
そのために、レントゲンだけでなくCTで根管形態を確認し、見落としを減らしたうえで治療方針を立てました。

実施した治療内容

CTで、右上6番に第2根管(見落とされやすい根管)があることを確認しました。
上顎大臼歯は根管が複雑なことがあり、今回は3根管ではなく4根管としてアプローチ。
抜髄後、根管内を適切に処置し、最終的にコア(土台)→被せ物まで進めました。
(※第2根管が未処置のままだと、痛みが残る可能性があるため、ここが治療の重要ポイントでした。)

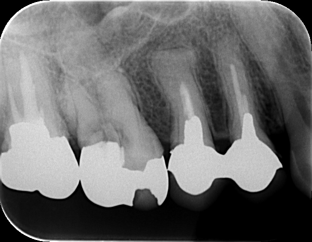
結果と経過

術後4年
術後4年

抜髄後は痛みが軽減し、その後の経過も良好でした。
ただし症状の出方や治り方には個人差があり、歯や根の状態によっては追加の処置が必要になることがあります。

術後の注意点・メンテナンス

治療後は一時的に噛むと違和感・痛みが出ることがあります

強い痛み・腫れが続く場合は、早めに受診が必要です

被せ物を入れた後も、再発予防のために定期的なチェックをおすすめします(噛み合わせや被せ物の状態確認を含む)

治療詳細

治療内容
治療回数
治療費
リスク副作用

監修者情報

この記事は、医療法人 KANEKO DENTAL OFFICE(金子デンタルオフィス) 院長 金子 泰英 が監修しています。

監修者 金子 泰英

【監修者プロフィール】

  • 氏名: 金子 泰英(かねこ やすひで)
  • 資格: 日本口腔インプラント学会 指導医・専門医
  • 経歴:
  • 日本大学歯学部卒業
  • 日本大学歯学部 病理学講座 非常勤講師
  • インプラント治療実績 28年
  • 矯正治療実績 1,000症例以上

〒321-0963 栃木県宇都宮市南大通り1丁目3-8
JR宇都宮駅 徒歩8分

028-688-8100

calenda
028-688-8100 WEB予約はこちら