はじめに:長年の不調、意外な原因
50代の女性、Aさんが私たちのクリニックを訪れたのは、複数の銀歯を白い歯に変えたい、というごく一般的なご希望からでした。しかし、お話を詳しく伺ううちに、Aさんが長年、原因不明の耳鳴りと頭痛に悩まされていることが分かったのです。
「耳鼻科で何度も検査をしても、いつも『異常なし』と言われるんです。でも、頭痛はひどくなる一方で…」。そう言ってうつむくAさんの手には、当院の院長が出版した「かみ合わせ」に関する本が握られていました。「もしかしたら、私のこの不調も、かみ合わせが原因なのかもしれないと思って…」
Aさんのその直感は、まさに的を射ていました。精密な検査の結果、Aさんの歯のかみ合わせが大きくずれており、それが耳鳴りや頭痛といった全身の不調を引き起こしている可能性が非常に高いことが判明したのです。
この記事では、Aさんが長年の悩みから解放されるまでの、インプラントと矯正治療による「かみ合わせ治療」の軌跡を、術前・術後のレントゲン写真とともにご紹介します。
検査で判明した「かみ合わせのずれ」
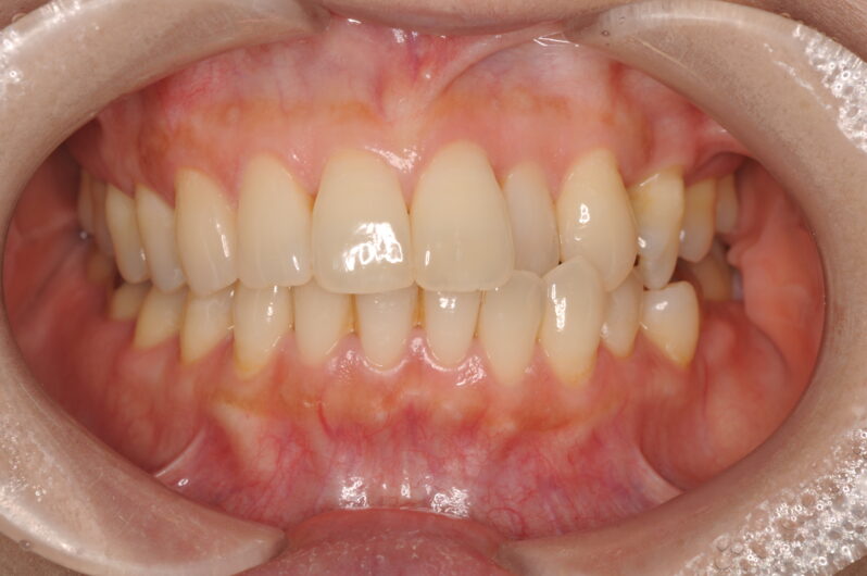
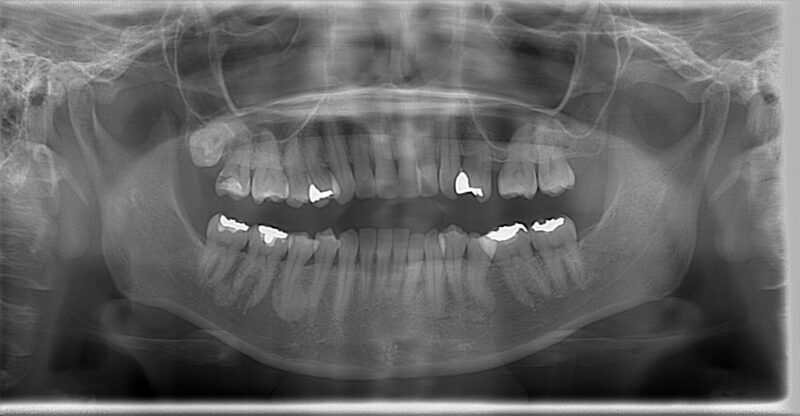
こちらが、初診時のAさんのレントゲンと写真です。


一見すると、大きな問題はないように見えるかもしれません。しかし、専門的な視点から分析すると、いくつかの重要な問題点が浮かび上がってきました。
最大の原因は、左上の前から2番目の歯(専門用語で「側切歯」)が、下の歯に強く引っかかり、顎がスムーズに動くのを妨げていたことです。毎日、食事や会話のたびに、この「引っかかり」が顎の関節や周りの筋肉に不自然な力を加え続けていました。これが、慢性的な頭痛や耳鳴りの引き金となっていたのです。
さらに、以前に左上の奥歯(5番目の歯)を抜いたままにしていたことで、歯並び全体が少しずつ変化し、かみ合わせのずれをさらに悪化させている状態でした。
患者様一人ひとりに合わせた治療計画
原因が特定できたところで、次に行うのは治療計画の立案です。Aさんの場合、以下の二つの治療を組み合わせることをご提案しました。
1.矯正治療: まず、歯並び全体を整え、問題の「引っかかり」を解消します。これにより、顎が本来あるべき正しい位置でスムーズに動けるようにします。
2.インプラント治療: 抜歯して失われた左上の奥歯の部分に、人工の歯根(インプラント)を埋め込み、新しい歯を作ります。これにより、奥歯でしっかりと噛めるようになり、かみ合わせ全体の安定性を高めます。
骨の高さが足りない!インプラント治療の壁
しかし、ここで一つ問題が持ち上がりました。インプラントを埋め込むには、土台となる十分な高さと厚みの顎の骨が必要です。しかし、Aさんの場合、長年歯がなかった影響で骨が痩せてしまい、特に骨の高さが足りない状態でした。
通常、このようなケースでは、「サイナスリフト」という手術を行います。これは、上顎の上にある「上顎洞(じょうがくどう)」という鼻の空洞(副鼻腔)の底を特殊な器具で慎重に持ち上げ、そこに骨を補う材料を詰めて、インプラントを埋め込むための骨の高さを確保する手術です。非常に有効な方法ですが、患者様にとっては手術の規模が大きくなり、体への負担(侵襲)も増えるという側面があります。
低侵襲治療「ショートインプラント」という選択
Aさんは、大掛かりな手術に対して強い不安を感じていらっしゃいました。私たちは、患者様のお気持ちを第一に考え、別の選択肢を模索しました。そしてたどり着いたのが、「ショートインプラント」を用いるという方法です。
ショートインプラントとは、その名の通り、通常のインプラントよりも長さが短いインプラントのことです。骨の高さが限られている場合でも、サイナスリフトのような大掛かりな骨を増やす手術を避けてインプラント治療を行うことができます。もちろん、短いからといって強度が劣るわけではなく、適切な設計と技術をもって行えば、長期的に安定した結果が期待できます。
この「体への負担が少ない、低侵襲な治療法」というご提案に、Aさんは大変安心され、喜んで治療を受け入れることを決断されました。
治療、そして訪れた変化
治療は計画通り、矯正治療から始まり、歯並びが整った段階でインプラント手術を行いました。手術はショートインプラントを使用したことで、非常にスムーズに進み、術後の腫れや痛みも最小限に抑えることができました。
そして、すべての治療が完了してから6年が経過した現在のレントゲン写真がこちらです。

術前の写真と見比べてみてください。左上にインプラントが入り、しっかりと安定しているのがお分かりいただけると思います。銀歯も白い歯に変わり、見た目も自然で美しくなりました。
こちらは、インプラント部分をより詳しく見ることができるCT画像です。

術後写真です。術前と比較してください。

短いながらも、インプラントが周りの骨としっかりと結合し、安定した土台となっている様子が確認できます。これにより、Aさんは左右の奥歯で均等に、力強く噛むことができるようになりました。
そして何よりも嬉しい変化は、Aさんを長年苦しめていた耳鳴りと頭痛が、すっかり解消されたことでした。「あれだけ悩んでいたのが嘘のようです。もっと早く相談すればよかった」と、晴れやかな笑顔で話してくださった時の表情は、今でも忘れられません。
まとめ:かみ合わせ治療とメンテナンスの重要性
Aさんの症例は、歯のかみ合わせがいかに全身の健康に大きな影響を与えているか、そして、患者様一人ひとりの状況やご希望に合わせた治療法を選択することの重要性を示しています。
インプラント治療というと、「手術が怖い」「大変そう」というイメージをお持ちの方も少なくないかもしれません。しかし、医療技術の進歩により、Aさんが受けられたショートインプラントのように、患者様の負担を最小限に抑える「低侵襲治療」という選択肢も増えています。
現在、治療終了から6年が経過しましたが、Aさんは定期的なメンテナンスにきちんと通ってくださっており、インプラントもご自身の歯も、非常に良好な状態を保っています。インプラントを長持ちさせるためには、このプロによる定期的なチェックとクリーニングが不可欠です。
原因不明の頭痛、肩こり、耳鳴りなどにお悩みの方、あるいは、銀歯や歯並びでお悩みの方。その不調、もしかしたら「かみ合わせ」が原因かもしれません。あきらめてしまう前に、ぜひ一度、当院にご相談ください。患者様一人ひとりに最適な治療法をご提案させていただきます。
医療法人KANEKODENTAL OFFICE 歯学博士 日本口腔インプラント学会指導医専門医 金子泰英