子どもの受け口は早期対応が鍵。放置が招く将来のデメリットとは
子どもの受け口(反対咬合)は、見た目の問題だけではありません。成長期の顎の発育、噛み合わせ、発音、日常生活、そして将来的な顔立ちまで影響する“全身レベルの問題”です。しかし実際には「様子を見ていいのか判断できない」という保護者の方が非常に多いと感じます。
本記事では、2020年に初診で来院した女の子の症例をもとに、受け口の早期治療がなぜ大切なのか、そして顎外装置を使わずに改善できたポイントについて解説します。
受け口は放置するとどうなるのか
受け口は成長とともに悪化することがあります。特に下顎が前方に誘導されやすく、思春期を迎えるころには治療の難易度が大幅に上がります。将来的に外科手術を考えざるを得ないケースもあり、早い段階の判断がとても重要です。
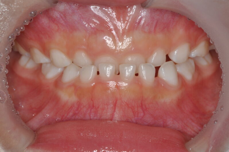
今回の女の子も初診時にははっきりと反対咬合の状態でした。このまま成長すると、治療が難しくなることが予測されました。
顎外装置を使わずに治療できた理由
最大のポイントは「診断」と「治療開始のタイミング」です。
一般的には受け口には顎外装置(顔にかける大きな装置)を使うイメージがあります。しかし、適切な時期に介入し、成長予測を正しく読み取れば、必ずしも大掛かりな装置を使う必要はありません。
今回のケースはまさにその典型です。
顎外装置は一切使わず、最小限の装置で改善できました。
これはただ早く治療したからではなく、
「診断力」
「経験」
「成長発育の読み」
が揃ってこそ実現できる結果です。
簡単に治るケースもありますが、それは“適切な診断と経験があってこそ”です。ここを誤ると逆に治りにくくなります。
術前写真

嘔吐反射が強くても治療はできる
今回の症例で非常に印象的だったのは、女の子の嘔吐反射が強かった点です。最近は同じように嘔吐反射が強い子が本当に増えています。
・従来の粘土状の印象材では強く反応してしまう
・苦しくて印象が取れない
・無理に続けると恐怖心が残る
このようなケースは珍しくありません。
そこで当院では**光学印象(口腔内スキャナー)**を使用しました。
スキャナーは口の中をなぞるだけで正確なデータが取れるため、嘔吐反射がほとんど出ません。
保護者の方からも
「これなら安心して続けられる」
という声を頂くことが多いです。
光学印象は
・不快感がない
・スピーディ
・精度が高い
というメリットがあり、特に小児矯正では効果的です。

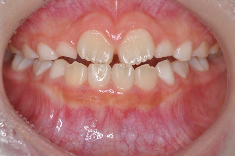
治療の途中経過
経過写真を見ると、数カ月で劇的に前歯のかみ合わせが変化しています。顎外装置を使わずとも、正確な診断と成長誘導を踏まえた治療方針があれば、ここまで自然に改善できます。
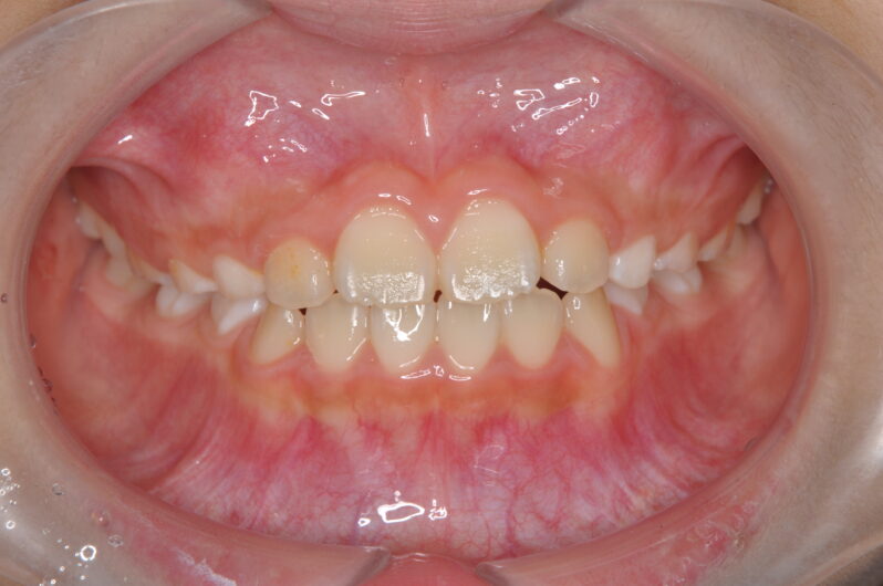
反対咬合の改善後は、仕上げとしてマウスピース型の装置へ移行。
・目立ちにくい
・痛みが少ない
・日常生活への影響が少ない
という点で子どもにとって負担の少ない方法です。
保護者の方からも
「もっと大変だと思っていたけど、こんなにスムーズなんですね」
と驚かれました。

この後、マウスピースに移行

本当に大切なのは、治療のタイミングと診断力
受け口は「早く来たら良い」という単純なものではありません。
本当に大切なのは
・治療開始のタイミング
・成長の見極め
・個々の骨格の特性
・噛み合わせの分析
・医師の経験と診断力
この5つです。
今回のように顎外装置なしで治るケースもあれば、逆に放置したことで難しくなるケースもあります。
だからこそ、
「様子を見ているだけ」
「そのうち治るかもしれない」
という判断が危険なのです。
まとめ:受け口は“いま”の判断で将来が変わる
・受け口は放置すると悪化する
・早期なら顎外装置なしで治るケースも多い
・嘔吐反射が強くても光学印象で対応できる
・しかし簡単に治るかどうかは“診断と経験”がすべて
・治療のタイミングを逃すと難易度は一気に上がる
子どもの将来の笑顔、顔立ち、噛める力、そして自信のために。
いまの判断が大きな差になります。
気になる方は、いつでもご相談ください。
お子さまにとって最適なタイミングと治療方法をご提案いたします。