こんにちは、理事長の金子泰英です。
皆さん、もう堀ちえみさんの舌癌の件はご存知だと思います。
私、個人の意見ですが、
開業医で粘膜疾患(口の中の悪い病気)の病名を確定するのは
難しいと思います。なので怪しいと思ったら
すぐに連携している大学病院で検査を依頼するように
しています。
今まで早期発見で助けた患者さんを紹介します。
以前、口の中の口内炎みたいなものが治らないと
セカンドオピニオンで来た患者さんがいました。
そのうち治ると半年間放置され怖くなって転院してきました。
拝見すると白板症でした。放置しているとがん化する病気です。
白くなっているところが白板症です。
すぐに大学病院へ依頼し、切除してもらいました。
経過良好です。
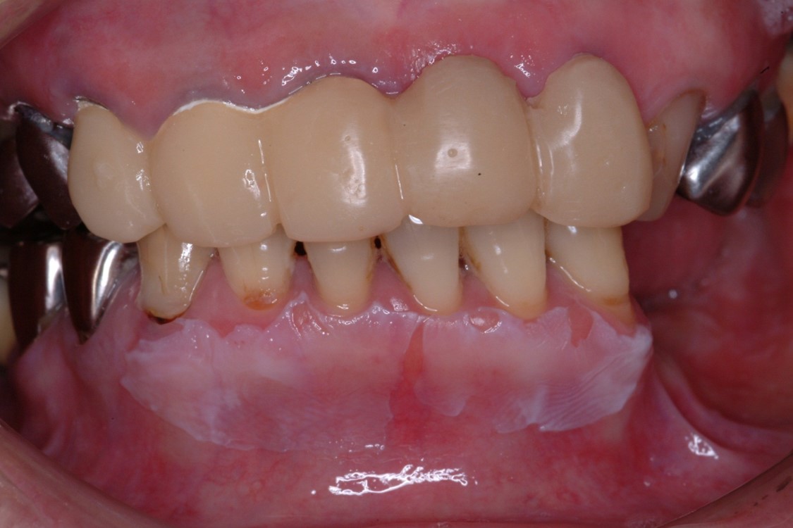
もう一人は初診で見えた患者さん。別の主訴で見えましたが、
本人は症状がないため気づいていませんでした。
これは扁平苔癬。白くレース状になっているところです。
これも放置しておくとがん化します。
原因は不適切な入れ歯です。

私が針金の入れ歯をやらない本当の理由はここにあります。
舌癌や粘膜疾患を引き起こす原因の一つに
慢性的な刺激、すなわち合わない入れ歯や、入れ歯の針金、
虫歯を放置して歯がとがっている状態が長い時間続き
舌やほっぺたに常に刺激を与えていると
口腔がんを引き起こす原因になります。
特に針金の入れ歯は頬や舌に引っ掛かりやすいので
慢性的な刺激を与えやすい、なので僕は針金の入れ歯は
やらないと決めています。
まず気になったら歯科医院で診てもらうことが大切です。
そしてその診断に納得がいかなければ
違う歯科医院に行き意見を聞いてみることが大切です。
今回のポイント
・セカンドオピニオンは重要
・口腔がん
・舌がん
・定期検診は重要
・口内炎は1週間で治ります。
