こんにちは。理事長 金子泰英です。
今日は、当院で実際に行った抜歯即時インプラントの症例を通じて、
この治療法がいかに患者さんにとって優しい選択肢であるかをお伝えしたいと思います。
ある日の出来事:突然の歯の破折
今年の6月、50代の女性患者さんが当院を訪れました。実は、普段インプラント治療を行っていない
先生からのご紹介でした。かかりつけの先生に「歯が割れてしまった」と相談したところ、
「この症例なら専門的な治療ができる先生に診てもらった方がいい」と、当院をご紹介いただいたのです。
患者さんは突然の歯の破折に大変ショックを受けていらっしゃいました。「
もうこの歯は抜くしかないんですよね...」と不安そうに話される姿が印象的でした。
しかし、詳しく検査をしてみると、骨の状態が比較的良好で、
抜歯即時インプラントという選択肢が可能であることが分かりました。
初診時
CT撮影 破折しているのがわかる↑
抜歯即時インプラントとは?
通常、歯を抜いた後は3〜6ヶ月ほど待ってから、
骨が治癒してからインプラントを埋入するのが一般的です。
しかし、抜歯即時インプラントは、その名の通り
抜歯をしたその日にインプラントを埋め込む治療法です。
この方法の最大のメリットは:
- 治療期間の大幅な短縮(従来の半分程度の期間)
- 手術回数が1回で済む(患者さんの身体的・精神的負担が軽減)
- 骨の吸収を最小限に抑える(抜歯後すぐに埋入することで骨の形態を維持)
- 審美性の向上(特に前歯部では歯肉の退縮を防げる)
ただし、この治療法は誰にでもできるわけではありません。
骨の状態、感染の有無、全身状態など、様々な条件を満たす必要があります。
精密なCT診断とシミュレーション
この患者さんの場合、幸いなことに骨欠損がそれほど大きくなかったため、
抜歯即時インプラントの適応となりました。
治療を始める前に、最新のCT撮影を行い、コンピューター上で綿密なシミュレーションを
実施しました。骨の厚み、高さ、密度、神経や血管の位置など、
あらゆるデータを三次元的に分析します。このシミュレーションにより、
インプラントを埋入する最適な位置、角度、深さを1ミリ単位で計画することができるのです。
サージカルガイドで確実な手術を
シミュレーション結果をもとに、サージカルガイドという装置を作製しました。
これは、手術時にお口の中に装着する、いわば「インプラント埋入の設計図」のようなものです。
このガイドを使用することで:
- 計画通りの位置・角度・深さに正確に埋入できる
- 手術時間が短縮される(患者さんの負担軽減)
- 安全性が飛躍的に向上する
- 予測可能性の高い治療が実現する
実際の手術でも、計画通りの位置にミリ単位の精度でインプラントを埋入することができました。
CTでシュミレーション
静脈内鎮静で安心の手術
この患者さんは「手術が怖い」とおっしゃっていました。インプラント手術と聞くと、
多くの方が不安を感じられるのは当然のことです。
そこで当院では、ご希望に応じて静脈内鎮静法を用いた手術を行っています。
これは、点滴から鎮静剤を投与し、うとうとと眠っているような状態で
手術を受けていただく方法です。全身麻酔とは異なり、意識はありますが、
恐怖心や不安感がほとんどなくなり、リラックスした状態で治療を受けることができます。
手術中の記憶もほとんど残らないため、「気づいたら終わっていた」という感覚です。
この患者さんも、「本当に手術をしたの?と思うくらい楽でした」と術後におっしゃっていました。
CGF(Concentrated Growth Factors):当院独自の治癒促進技術
ここからが当院の大きな特徴です。抜歯即時インプラントを成功させ、
できるだけ早く快適に治癒させるために、**CGF(濃縮成長因子)**という技術を併用しています。
CGFとは、患者さんご自身の血液から作る、完全自己由来の再生材料です。
手術当日に少量の血液を採取し、特殊な遠心分離機にかけることで、
傷の治癒を促進する成長因子が高濃度に濃縮されたゲル状の物質を作り出します。
このCGFの効果は驚異的です:
- 治癒期間の大幅な短縮(通常の半分程度に)
- 痛みや腫れの軽減
- 骨の再生促進
- 感染リスクの低減
- 完全自己由来のため拒絶反応の心配がない
抜歯した部位とインプラントの隙間にこのCGFを充填することで、
骨の再生が促進され、インプラントと骨の結合(オッセオインテグレーション)が早まります。
驚くほど快適な術後経過
この患者さんの術後経過は非常に良好でした。痛みも腫れもほとんどなく、
翌日には「本当に手術をしたの?」というほどの状態でした。
通常、抜歯やインプラント手術の後は、ある程度の腫れや痛みが出ることがありますが、
以下の理由により最小限に抑えることができました:
- 低侵襲手術:サージカルガイドにより最小限の切開で済んだ
- CGFの使用:炎症を抑え、治癒を促進
- 精密な治療計画:無駄な骨の削除や軟組織へのダメージを回避
- 豊富な経験と技術:スムーズで確実な手術手技
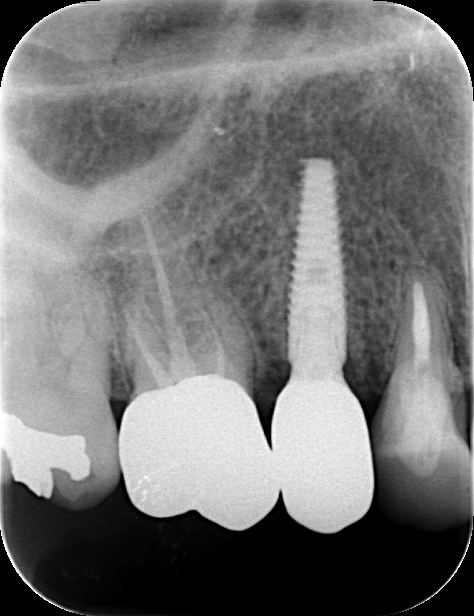
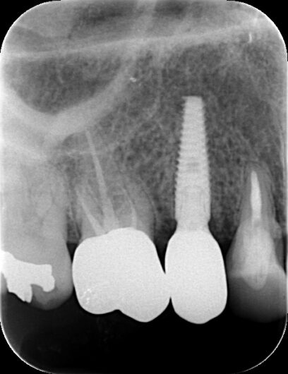
術後の検診でも順調に治癒が進み、約3ヶ月後には上部構造(人工の歯)を
装着することができました。通常の治療法であれば6〜9ヶ月かかるところを、
半分の期間で治療を完了できたのです。
4が月で治療終了
低侵襲治療へのこだわり
当院が最も大切にしているのは、
できる限り患者さんの身体への負担を少なくするという考え方です。
低侵襲(ミニマルインベーシブ)な治療とは:
- 切開や縫合を最小限にする
- 手術時間を短縮する
- 術後の痛みや腫れを抑える
- 回復期間を短縮する
- 何度も通院する必要をなくす
これらを実現するために、最新の診断機器、精密なシミュレーション技術、
サージカルガイド、CGFなどの再生療法、
そして豊富な経験と確かな技術を組み合わせているのです。
3ヶ月で完了:時間も大切な価値
この患者さんの場合、わずか3ヶ月で治療が完了しました。
従来の方法であれば、抜歯後に骨の治癒を待ち(3〜6ヶ月)、
その後インプラント埋入、さらに骨との結合を待つ(3〜6ヶ月)という工程で、
トータル6〜12ヶ月かかることも珍しくありません。
現代社会において、時間は非常に貴重です。仕事や家事、育児などで忙しい日々を送る中、
何度も歯科医院に通い、長期間治療を受け続けるのは大きな負担です。
抜歯即時インプラント + CGFという当院の治療法なら:
- 手術は1回のみ
- 治療期間は約半分
- 通院回数も大幅に削減
- 早期に日常生活に復帰できる
「仕事が忙しくて何度も通院できない」「できるだけ早く歯を入れたい」という方にとって、
理想的な選択肢となります。
他院からの紹介が示す信頼
冒頭でもお伝えしましたが、この患者さんは、普段インプラント治療を
行っていない先生からのご紹介でした。実は当院には、
他の歯科医院の先生方からのご紹介で来院される患者さんが少なくありません。
これは、同業の先生方から「難しい症例や専門的な治療は、あの先生に任せたい」
と信頼していただいている証だと考えています。
歯科医師同士のネットワークの中で、「この先生なら安心して患者さんを紹介できる」
と評価していただけることは、私たちにとって何よりの励みです。
まとめ:あなたにも適用できるかもしれません
もしあなたが今、以下のような状況にあるなら、
抜歯即時インプラントが適用できる可能性があります:
- 歯が割れてしまった、または抜歯が必要と言われた
- できるだけ早く歯を入れたい
- 何度も手術を受けたくない
- 痛みや腫れが心配
- 手術が怖い
- 仕事が忙しく、治療期間を短縮したい
当院では、最新のCT診断による精密な検査から始まり、
一人ひとりの状態に合わせた最適な治療計画を立案します。
すべての患者さんに抜歯即時インプラントが適用できるわけではありませんが、
適応があれば、これほど患者さんにとってメリットの大きい治療法はありません。
CGFを併用した抜歯即時インプラントは、当院ならではの技術です。
低侵襲で、治癒が早く、痛みや腫れも最小限。そして治療期間も大幅に短縮できます。
「歯を抜かなければならない」という状況は、誰にとっても辛いものです。
しかし、適切な治療法を選択すれば、その後の人生をより快適に、
より自信を持って過ごすことができます。
もし今、歯のことでお悩みがあるなら、ぜひ一度ご相談ください。
あなたに最適な治療法を一緒に考えていきましょう。
歯学博士
日本口腔インプラント学会指導医専門医 金子泰英




