8年経過したインプラント症例:前歯の違和感を訴える40代女性患者
はじめに
インプラント治療後の長期経過観察は、治療の成功を評価する上で非常に重要です。今回、8年前にインプラント治療を行った40代女性患者さんが、前歯の違和感を主訴に来院されました。この症例を通じて、長期経過症例における対応と、患者さんとのコミュニケーションの大切さについて考えていきたいと思います。
患者背景と初診時の状況
患者さんは40代女性で、医療系の職場にお勤めです。そのため、医療に関する知識も豊富で、ご自身の治療内容についてもよく理解されています。
「前歯の違和感が取れない」という主訴で来院されました。
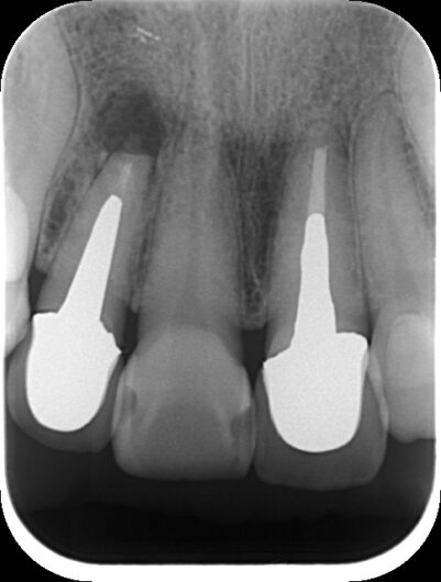
初診時レントゲン、CT


膿がおおきい
インプラント治療に至るまでの経緯
この患者さんは、当院でインプラント治療を受ける前に、長い治療の歴史がありました。
まず、他院で根管治療(根っこの治療)を受けられましたが、残念ながら違和感は改善しませんでした。その後、口腔外科にてアンプテーション(歯根切除術)を受けられたものの、それでも違和感は取れず、むしろ続いている状態でした。
このように、様々な保存的治療を試みたにもかかわらず症状が改善しなかったため、紹介を受けて当院を受診されることになりました。
2016年の治療内容
治療方針の決定
初診時の診査で、重要な所見が得られました。問題となっていた歯は歯根にひびが入っている状態でした。これは、根管治療やアンプテーションを行っても違和感が取れなかった根本的な原因だったのです。
すでにアンプテーションまで受けていたにもかかわらず違和感が続いていたのは、この歯根破折が見逃されていたためと考えられました。歯根にひびが入っている以上、どんなに精密な根管治療を行っても、また歯根の一部を切除しても、症状の改善は望めません。保存治療による改善の見込みは低いと判断せざるを得ませんでした。
患者さんご自身も、これまでの治療経過で精神的にも疲弊されていました。この長く続く違和感から解放されたいという思いと、前歯という審美的に重要な部位であることを考慮し、じっくりと相談を重ねた結果、抜歯してインプラント治療を行うことを決定しました。
術式の選択理由
前歯という審美的に重要な部位であることを考慮し、以下の術式を選択しました:
- ソケットプリザベーション(CGF併用): 抜歯後の骨の吸収を最小限に抑えるため、抜歯窩を保存する処置を行いました。この際、患者さんご自身の血液から作製したCGF(Concentrated Growth Factors:濃縮成長因子)を併用しました。CGFは患者さんの血液を遠心分離することで得られる、成長因子を豊富に含んだフィブリンゲルです。人工的な添加物を一切使用せず、ご自身の治癒力を最大限に活用することで、より確実な骨の再生と軟組織の治癒を促進することができます
- 2回法でのインプラント埋入: 審美性を重視し、より確実な治療結果を得るため、2回法を選択しました
※CGF併用し骨が作られました

前歯部は笑顔の印象を左右する重要な部位です。特に医療従事者という職業柄、患者さんご自身も審美性への関心が高く、慎重に術式を検討しました。
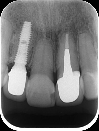
8年後の現在
主訴への対応
「前歯の違和感」という主訴に対して、まずは客観的な評価が必要です。今回、以下の検査を実施しました:
- デンタルレントゲン撮影

- CT撮影

検査の結果、インプラント周囲の骨の状態、インプラント体の位置、周囲組織の状態など、すべてにおいて問題は認められませんでした。これは、8年間適切にメインテナンスを継続してきた成果と言えるでしょう。
全身的なアプローチ
当院では、患者さんの全身的な健康状態にも配慮した治療を心がけています。この患者さんには、毎回のメインテナンス時に高濃度ビタミンC点滴を実施しています。
ビタミンCは抗酸化作用があり、歯周組織の健康維持にも寄与すると考えられています。口腔内の健康は全身の健康と密接に関連しているため、こうした全身的なアプローチも大切にしています。
考察とまとめ
違和感の原因について
画像診断で明らかな異常が認められないにもかかわらず、患者さんが違和感を訴える場合、以下のような可能性が考えられます:
- 咬合の微妙な変化
- 周囲の天然歯の状態変化
- 心理的な要因
- 季節や体調による知覚の変化
医療知識のある患者さんだからこそ、小さな変化にも敏感に気づかれるのかもしれません。
長期メインテナンスの重要性
この症例から学べることは、定期的なメインテナンスと患者さんとの信頼関係の構築がいかに重要かということです。8年間という長期にわたり、問題なく経過しているのは、患者さんご自身の意識の高さと、継続的なケアの賜物です。
今後の対応
現時点で構造的な問題は認められませんが、患者さんの違和感という主観的な訴えは真摯に受け止める必要があります。今後も:
- 定期的な画像診断による客観的評価
- 咬合状態のチェック
- 患者さんとの対話を通じた症状の変化の把握
- 必要に応じた全身的なサポート
これらを継続していくことが大切だと考えています。
おわりに
インプラント治療は、埋入して終わりではありません。長期的な成功のためには、患者さんと医療者が二人三脚で取り組むメインテナンスが不可欠です。
特に医療従事者の患者さんの場合、専門的な知識を持っているからこそ、より丁寧な説明と、エビデンスに基づいた対応が求められます。この症例を通じて、改めて患者さん一人ひとりに寄り添った診療の大切さを実感しています。
今後も、患者さんの小さな訴えにも耳を傾けながら、質の高い医療を提供していきたいと思います。
日本口腔インプラント学会指導医専門医 歯学博士 金子泰英